胃肠镜室开展内镜下止血术
消化内分泌科胃肠镜室于6月1日及6月14日完成2例杜氏病十二指肠降部出血内镜下止血术。
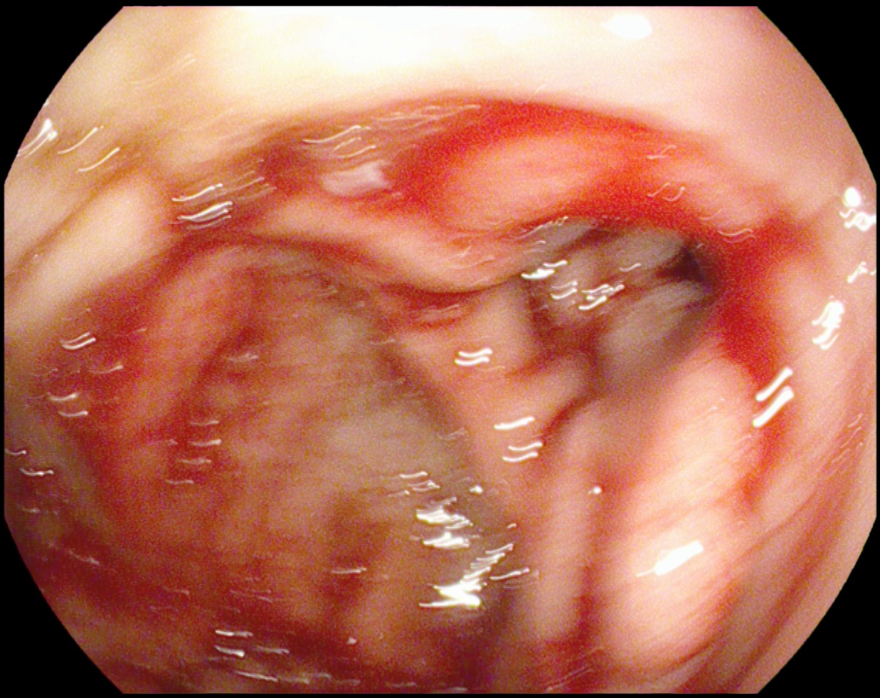
杜氏病是胃粘膜下恒径动脉畸形引起的出血,是一种较少见得引起消化道出血的病因。
其中患者为老年男性,57岁,缘于入院前一天无明显诱因出现反复黑便于5月31日急来我院在消化内科住院,入院血常规血色素为100g/L,给予止血、补液对症治疗无效,出血仍然不止,血常规血色素下降到68 g/L,于6月1日在胃镜室行急诊胃镜,发现患者胃底、胃体、胃窦部大量新鲜出血附着影响观察,继续进镜发现十二指肠球部新鲜出血附着,十二指肠降部见新鲜出血点,呈波动性喷射状,考虑为杜式病引起的十二指肠降部出血,立即给予钛夹钳夹止血,出血停止,给予2单位去白悬浮红细胞,于6月3日复查血常规血色素为78 g/L,于6月6日再次复查血常规血色素为79 g/L,内镜下止血后患者未再呕血及黑便,出血完全止住,准备出院。追问患者病史,患者1年前也因十二指肠出血在承德市中心医院给予钛夹钳夹止血。另1例患者为ICU患者,患者反复呕血、便血15个小时,共输血10U去白悬浮红细胞,1500ml血浆,血色素仍然继续下降,内科保守治疗效果欠佳,仍然出血不止,患者烦躁,生命体征不平稳,在气管插管静脉麻醉下给予内镜下止血治疗后血色素上升,未再呕血,此次内镜下止血为我院完成的杜式病引起出血内镜下止血首例,填补了我院此项技术的空白,同时为患者减少了住院日、减轻治疗花销,同时也避免了转院,给患者带来了福音。





消化内分泌科 张逸博
电子邮箱:wcxyyxxk@126.com(网址故障可联系)
联系电话:-
邮政编码:068450
举报电话:-
急救电话:120
传真:-
地址:河北省承德市围场县
举报邮箱:-